Mouth Piece
マウスピース矯正
透明で目立たない革新的な矯正治療

マウスピース矯正は、従来のワイヤー矯正とは全く異なる革新的な治療方法です。透明なマウスピース型の装置を段階的に交換することで、歯を理想的な位置へと移動させていきます。装置が透明であるため、装着していることがほとんど分からず、日常生活において審美性を損なうことがありません。
当院では、世界で最も多くの治療実績を持つインビザラインシステムを採用しており、患者様一人ひとりに最適な治療計画を立案いたします。従来の金属製ワイヤーを使用した矯正治療に抵抗を感じていた方にも、安心して治療を受けていただけます。
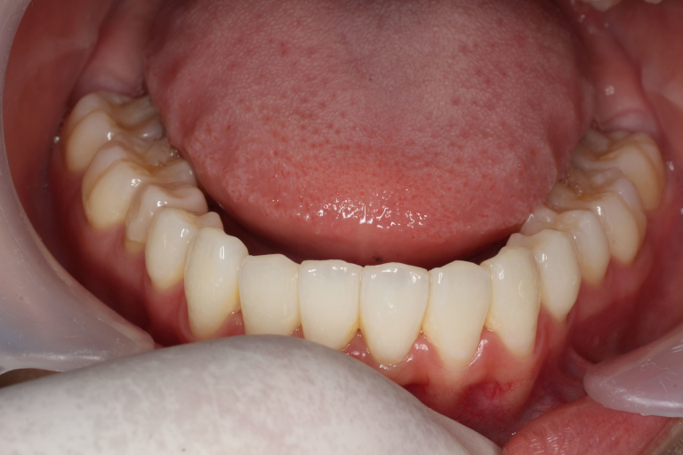
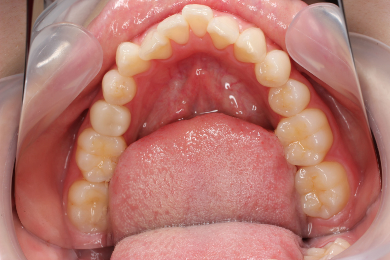
症例
Before
After
| 主訴 | 歯並びの乱れ(叢生)があり、口元の突出感を抑えたい |
|---|---|
| 治療内容 | インビザラインを用いた治療 (非抜歯ケース) |
| 治療期間 | 1年7ヶ月 |
| 治療費用 | 基本料金:660,000円 調整料:3,300円 × 24回 |
| リスク | 取り外し式装置で、1日24時間中22時間使用しなければならず、しっかりと装置を装着できないと歯は思ったように動きません。 |
インビザラインの特徴
目立たない透明性
インビザラインの最大の特徴は、その透明性にあります。医療用プラスチック製の薄い装置は、装着時でも他人に気づかれることがほとんどありません。接客業や営業職など、人前に出る機会の多い方でも、職業への影響を心配することなく矯正治療を受けていただけます。
取り外し可能な利便性
従来の固定式矯正装置とは異なり、インビザラインは患者様ご自身で取り外すことが可能です。食事の際には装置を外して通常通りお食事を楽しんでいただけ、歯磨きの際も装置を外して丁寧にブラッシングを行うことができます。これにより、治療期間中の口腔衛生管理が格段に向上いたします。
快適な装着感
金属製のワイヤーやブラケットを使用しないため、口腔内での違和感や痛みが大幅に軽減されます。装置の縁は滑らかに仕上げられており、頬や舌への刺激がほとんどありません。また、金属アレルギーの心配もございません。
デジタル技術による精密な治療計画
最新のデジタル技術を活用し、治療開始から完了までの歯の移動をコンピュータ上でシミュレーションいたします。患者様には治療完了後の歯並びを事前にご確認いただけるため、安心して治療を開始していただけます。
インビザライン治療プラン
フルパッケージ(基本料金:770,000円)
全ての歯を対象とした包括的な矯正治療プランです。複雑な歯並びの問題や重度の不正咬合にも対応可能で、最も幅広い症例に適用できます。治療期間は症例により異なりますが、通常1年半から3年程度を要します。
ライトパッケージ(基本料金:440,000円)
軽度から中等度の歯並びの問題に適した治療プランです。前歯部の軽微な叢生や空隙の改善などに効果的で、フルパッケージより短期間での治療完了が期待できます。使用するマウスピースの枚数に制限があるため、適応症例は限られます。
見えるところだけパッケージ(基本料金:330,000円)
前歯部の審美的な改善に特化した治療プランです。笑った時に見える部分の歯並びを効率的に整えることができ、最も経済的で短期間の治療が可能です。奥歯の咬合関係に大きな問題がない場合に適用されます。
治療費用とお支払い方法

明確な料金体系
ご提示した治療費以外は必要ございません。基本料金には、治療に必要な全てのマウスピース、治療終了後の保定装置、治療期間中の調整などが含まれたオールインクルード金額です。追加費用の心配なく、安心して治療を受けていただけます。
治療前の精密検査費用として33,000円、月ごとの調整料として3,300円が別途必要となりますが、調整料は同一月内であれば追加料金は発生いたしません。
便利なお支払い方法
患者様のご負担を軽減するため、分割払いにも対応しております。金利や手数料は一切かかりませんので、お気軽にご相談ください。さらにご負担を軽減したい場合は、デンタルローンのご利用も可能です。
治療の流れ

-
初回相談・検査
まず詳細なカウンセリングを行い、患者様のご希望や治療に対するご質問にお答えいたします。口腔内の状態を詳細に検査し、インビザライン治療の適応性を判断いたします。必要に応じてレントゲン撮影や口腔内スキャンを実施いたします。
-
治療計画の立案
精密検査の結果を基に、最適な治療計画を立案いたします。コンピュータシミュレーションにより、治療完了後の歯並びを事前にご確認いただけます。治療期間や使用するマウスピースの枚数についても詳しくご説明いたします。
-
マウスピースの製作・装着
治療計画に基づいて、患者様専用のマウスピースを製作いたします。初回のマウスピースをお渡しし、正しい装着方法や取り扱い方法についてご指導いたします。1日20時間以上の装着が治療成功の鍵となります。
-
定期的な経過観察
通常4~6週間ごとにご来院いただき、治療の進行状況を確認いたします。新しいマウスピースをお渡しし、必要に応じて調整を行います。治療期間中のトラブルや疑問についても、お気軽にご相談ください。
-
保定期間
歯の移動が完了した後は、後戻りを防ぐために保定装置を使用していただきます。保定期間中も定期的な検診を行い、治療結果の安定を図ります。
インビザライン治療の適応症
軽度から中等度の叢生(歯のガタガタ)、空隙歯列(すきっ歯)、軽度の出っ歯や受け口などに効果的です。ただし、重度の骨格性不正咬合や複雑な症例では、従来のワイヤー矯正の方が適している場合もございます。
治療の適応性については、詳細な検査と診断に基づいて判断いたします。まずはお気軽にご相談ください。
治療期間中の注意事項
マウスピースは1日20時間以上装着していただく必要があります。食事と歯磨きの時以外は常に装着し、約2週間ごとに新しいマウスピースに交換していただきます。
マウスピースの紛失や破損にご注意ください。また、熱湯による変形を避けるため、お手入れは水またはぬるま湯で行ってください。
定期的な通院は治療成功のために不可欠です。予約日には必ずご来院いただき、歯の移動状況を確認させていただきます。
近年のマウスピース矯正技術の進歩は目覚ましく、適応症例であれば短期間での治療完了も可能になりました。患者様にとって快適で便利な矯正治療をご提供いたします。
美しい歯並びと健康な咬合を手に入れるため、インビザライン治療をご検討ください。無料相談も承っておりますので、お気軽にお問い合わせください。
Information
院内案内
| 月 | 火 | 水 | 木 | 金 | 土 | 日 | |
|---|---|---|---|---|---|---|---|
| 10:00~13:00 | ● | ● | ● | ||||
| 15:00~20:00 | ● | ● | ● | ||||
| 09:00~13:00 | ● | ● | |||||
| 14:00~18:00 | ● | ● |
※急患対応しておりますが、原則診療は予約制です。
ご来院の前にお電話ください。
-
医療法人社団 健佑会
-
昭和通り歯科
東京都江戸川区南小岩7-31-13
パロス南小岩1階
TEL.03-3671-8008 -
ケン歯科・矯正歯科
〒272-0143 千葉県市川市相之川4-17メトロ東西線南行徳駅1F
TEL.047-397-1181 -
ゆうゆう歯科
千葉県市川市
市川南3-1-1
TEL.047-326-7780 -
ゆう歯科クリニック
埼玉県さいたま市緑区東浦和2-51-26
サミットストア東浦和店内
TEL.048-810-5733 -
K スマイル歯科
千葉県松戸市日暮1-3-1
及川ビル2F
TEL:047-387-1182
