Labial Orthodontics
表側矯正
最も確実で信頼性の高い矯正治療法

表側矯正は、歯の表面にブラケットとワイヤーを装着する最も歴史があり、確実性の高い矯正治療方法です。幅広い症例に対応でき、重度の不正咬合から軽微な歯並びの問題まで、あらゆるケースで優れた治療結果を提供することができます。
当院では最新の矯正技術と材料を使用し、患者様一人ひとりに最適な治療計画を立案いたします。従来の金属製装置だけでなく、目立ちにくい審美的な装置もご用意しており、患者様のライフスタイルやご希望に応じてお選びいただけます。
症例
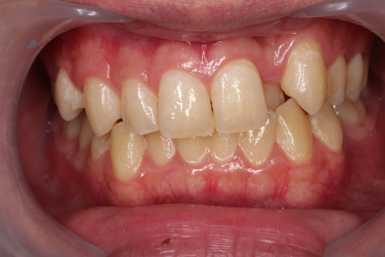
Before
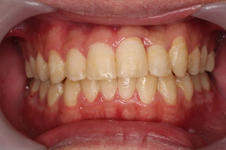
After
| 主訴 | 咬み込みが深く、前歯の位置や犬歯の向きが気になる |
|---|---|
| 治療期間 | 1年11ヶ月 |
| 治療費用 | 基本料金:54万円 調整料:5,500円×24回 |
| リスク | 咬み込みの改善が必ずしも100%成功するとは限らず、骨格や筋肉の関係によって治療効果が十分に得られない場合がある |
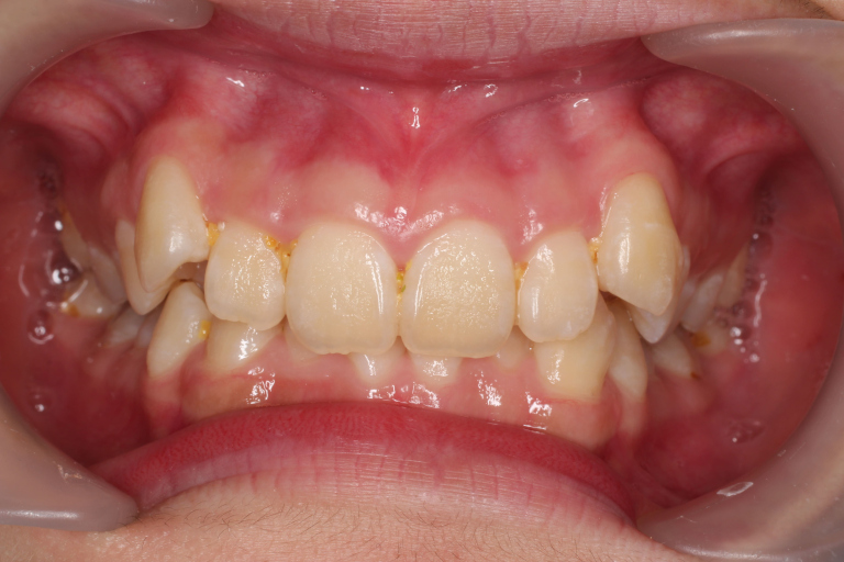
Before
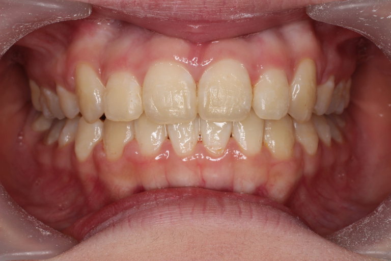
After
| 主訴 | 上顎の叢生(歯並びの乱れ)が強く、歯を抜かずに治療したい |
|---|---|
| 治療期間 | 2年4ヶ月 |
| 治療費用 | 基本料金:540,000円 調整料:5,500円×27回 |
| リスク | 治療法で抜歯ケースなのか非抜歯ケースなのかの選択こそ難しいものです。無理して非抜歯を選択してしまうとエステティックラインが悪くなるリスクがあります。 |
表側矯正の特徴

高い治療精度と確実性
表側矯正は矯正歯科治療の基本となる治療法であり、長年の臨床実績に基づいた確実な治療効果が期待できます。複雑な歯の移動や骨格的な問題を伴う症例でも、精密なコントロールが可能で、理想的な歯並びと咬合を実現できます。
幅広い適応症例
軽度の叢生から重度の骨格性不正咬合まで、ほぼ全ての矯正症例に対応可能です。抜歯を伴う症例や外科的矯正治療が必要な症例でも、確実な治療結果を得ることができます。マウスピース矯正では対応困難な症例でも、表側矯正であれば治療が可能な場合が多くあります。
治療期間の短縮
直接的な力の伝達により効率的な歯の移動が可能で、多くの症例でマウスピース矯正よりも短期間での治療完了が期待できます。特に複雑な症例では、その差は顕著に現れます。
経済的な治療費用
マウスピース矯正と比較して治療費用を抑えることができ、より多くの患者様に高品質な矯正治療をご提供できます。分割払いも可能で、経済的な負担を軽減いたします。
審美的な矯正装置
目立ちにくい白いブラケット
従来の金属製ブラケットに代わり、歯と同系色の白いセラミック製ブラケットを標準的に使用しています。金属製のものと比較して格段に目立ちにくく、矯正治療中でも自然な印象を保つことができます。
細いワイヤーの使用
最新の形状記憶合金ワイヤーを使用することで、従来よりも細く目立ちにくいワイヤーでも効果的な治療が可能になりました。また、白くコーティングされたワイヤーもご用意しており、さらに審美性を向上させることができます。
カラーゴムでの個性表現
ブラケットとワイヤーを固定するゴムは、様々な色をお選びいただけます。お子様の場合は好きな色を選んで楽しく治療を受けていただけ、大人の方は目立ちにくい透明や白色をお選びいただけます。
治療プランと料金
学生向けプラン(基本料金:540,000円)
高校生・大学生・専門学校生を対象とした特別料金プランです。将来を見据えた投資として、できるだけ経済的な負担を軽減できるよう配慮いたします。分割払いでは月額30,000円×18回のお支払いが可能で、金利・手数料は一切かかりません。
成人向けプラン(基本料金:684,000円)
成人の方を対象とした標準的な治療プランです。社会人としての生活に配慮し、できるだけ目立ちにくい装置を使用いたします。分割払いでは月額38,000円×18回のお支払いが可能です。
オールインクルード料金システム
ご提示した治療費以外は必要ございません。基本料金には以下の全てが含まれています。
治療終了後の保定装置(リテーナー)、効果的な歯の移動を可能にするミニスクリュー、治療のための便宜抜歯、治療期間中の全ての調整処置など、追加費用の心配なく安心して治療を受けていただけます。
治療前の精密検査費用として33,000円、月ごとの調整料として5,500円が別途必要となりますが、同一月内であれば調整料の追加はございません。
治療の流れ

-
初回相談・カウンセリング
患者様のお悩みやご希望を詳しくお聞きし、口腔内の状態を確認いたします。治療の必要性や期間、費用について詳しくご説明いたします。疑問や不安な点がございましたら、どのようなことでもお気軽にお尋ねください。
-
精密検査・診断
レントゲン撮影、口腔内写真撮影、歯型採取など、治療計画立案に必要な詳細な検査を実施いたします。骨格的な問題の有無や歯根の状態、顎関節の機能なども総合的に評価いたします。
-
治療計画のご説明
検査結果に基づいて最適な治療計画を立案し、詳しくご説明いたします。治療期間、使用する装置、抜歯の必要性、治療費用などについて、分かりやすくお伝えいたします。複数の治療選択肢がある場合は、それぞれのメリット・デメリットをご説明いたします。
-
前処置・装置装着
虫歯や歯周病の治療が必要な場合は、矯正治療開始前に完了いたします。便宜抜歯が必要な場合も、この段階で実施いたします。その後、ブラケットの装着を行い、矯正治療を開始いたします。
-
定期調整
通常4~6週間ごとにご来院いただき、ワイヤーの交換や調整を行います。歯の移動状況を確認し、治療計画通りに進行しているかをチェックいたします。痛みや違和感がある場合は、遠慮なくお申し出ください。
-
装置除去・保定開始
歯並びが理想的な状態になりましたら、ブラケットとワイヤーを除去いたします。その後、後戻りを防ぐための保定装置を装着し、保定期間に入ります。保定期間中も定期的な検診を行い、治療結果の安定を図ります。
治療期間中の注意事項
口腔清掃の重要性
矯正装置装着中は、通常よりも丁寧な口腔清掃が必要です。専用の歯ブラシや補助清掃器具の使用方法について詳しく指導いたします。定期的なクリーニングも併用することで、虫歯や歯周病を予防できます。
食事の注意
硬いものや粘着性の強い食べ物は、装置の破損や脱離の原因となります。また、着色しやすい食べ物や飲み物は、ゴムの変色を引き起こす場合があります。具体的な注意事項について詳しくご説明いたします。
定期通院の重要性
予定通りの通院は治療成功のために不可欠です。調整を怠ると治療期間の延長や治療結果への影響が生じる可能性があります。お忙しい中でも、できるだけ予約通りにご来院ください。
表側矯正の適応症例
叢生(歯のガタガタ)、空隙歯列(すきっ歯)、上顎前突(出っ歯)、下顎前突(受け口)、開咬(前歯が咬まない)、過蓋咬合(噛み合わせが深い)など、あらゆる不正咬合に対応可能です。
重度の骨格性不正咬合で外科的矯正治療が必要な場合でも、表側矯正との組み合わせにより、理想的な治療結果を得ることができます。
治療後のメリット
美しい歯並びの獲得はもちろん、正しい咬み合わせにより咀嚼機能が向上し、消化器系への負担が軽減されます。また、歯磨きがしやすくなることで虫歯や歯周病のリスクが大幅に減少いたします。
さらに、顔貌のバランスが改善され、自信を持って笑顔を見せることができるようになります。発音の改善や顎関節症状の軽減効果も期待できます。
表側矯正は最も確実で信頼性の高い矯正治療法です。豊富な臨床経験に基づいた高品質な治療をご提供いたします。美しい歯並びと健康な咬合を手に入れるため、まずはお気軽にご相談ください。無料相談も承っております。
Information
院内案内
| 月 | 火 | 水 | 木 | 金 | 土 | 日 | |
|---|---|---|---|---|---|---|---|
| 10:00~13:00 | ● | ● | ● | ||||
| 15:00~20:00 | ● | ● | ● | ||||
| 09:00~13:00 | ● | ● | |||||
| 14:00~18:00 | ● | ● |
※急患対応しておりますが、原則診療は予約制です。
ご来院の前にお電話ください。
-
医療法人社団 健佑会
-
昭和通り歯科
東京都江戸川区南小岩7-31-13
パロス南小岩1階
TEL.03-3671-8008 -
ケン歯科・矯正歯科
〒272-0143 千葉県市川市相之川4-17メトロ東西線南行徳駅1F
TEL.047-397-1181 -
ゆうゆう歯科
千葉県市川市
市川南3-1-1
TEL.047-326-7780 -
ゆう歯科クリニック
埼玉県さいたま市緑区東浦和2-51-26
サミットストア東浦和店内
TEL.048-810-5733 -
K スマイル歯科
千葉県松戸市日暮1-3-1
及川ビル2F
TEL:047-387-1182
