Implant
インプラント
インプラント
第二の永久歯と呼ばれる最先端治療

インプラントは「第二の永久歯」と称される画期的な治療法です。歯を失った部位の顎骨にチタン製の人工歯根を埋入し、その上に人工歯を装着することで、天然歯に近い機能と審美性を回復させることができます。
当院では長年にわたるインプラント治療の豊富な経験と最新の設備を活用し、患者様一人ひとりに最適なインプラント治療をご提供いたします。失った歯の機能を完全に回復し、自信に満ちた笑顔を取り戻していただけるよう、全力でサポートいたします。
症例
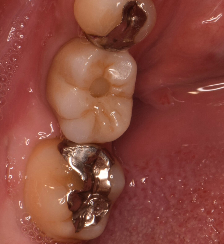
Before
After
| 主訴 | 歯が痛い |
|---|---|
| 治療内容 | 歯根破折 →抜歯 →インプラント治療内容 |
| 治療期間 | 6ヶ月 |
| 治療費用 | 400,000円 |
| リスク | インプラント周囲炎、術後痛 |
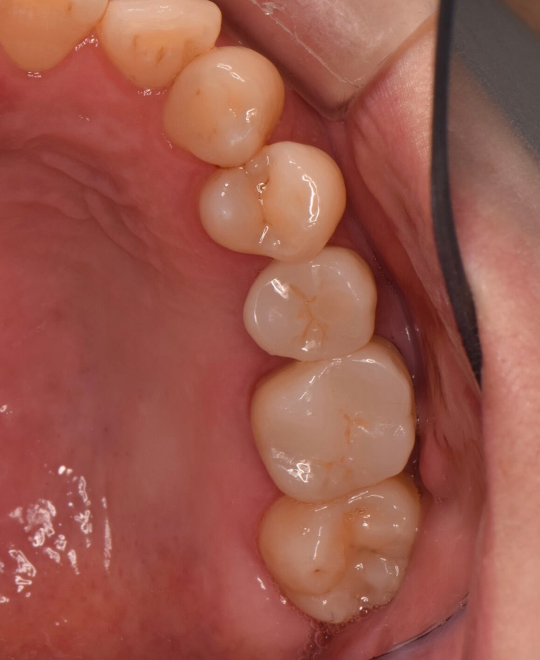
Before
After
| 主訴 | むし歯で痛い |
|---|---|
| 治療内容 | 左下567Br除去 →う蝕処置 →インプラント →補綴5.7セラミッククラウン、上部構造セラミック |
| 治療期間 | 6ヶ月 |
| 治療費用 | 680,000円(インプラント400,000円) クラウン:120,000円✕2 ファイバーコア:20,000円✕2 |
| リスク | インプラント周囲炎、術後痛、セラミックがかける |
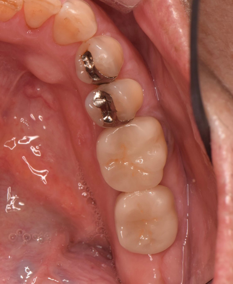
Before
After
| 主訴 | 歯が折れた |
|---|---|
| 治療内容 | 右上5抜歯 →抜歯窩治癒後インプラント埋入+サイナスリフト →右上5上部構造印象、右上6セラミッククラウン印象 →セット |
| 治療期間 | 12ヶ月 |
| 治療費用 | サイナスリフト200,000円 インプラント400,000円 セラミッククラウン120,000円 |
| リスク | 周囲炎、欠け、術後痛 |
Before
After
| 主訴 | 奥歯が痛い |
|---|---|
| 治療内容 | 左下67再根管治療 →コア →クラウン |
| 治療期間 | 3ヶ月 |
| 治療費用 | ファイバーコア20,000円✕2、 セラミッククラウン120,000円✕2 |
| リスク | セラミッククラウン欠け |
Before
After
| 主訴 | 右下奥歯しっかり噛みたい |
|---|---|
| 治療内容 | 右下7インプラント |
| 治療期間 | 4ヶ月 |
| 治療費用 | 400,000円 |
| リスク | 周囲炎、破折、インプラント脱離 |
インプラント治療の特徴

天然歯に近い咀嚼機能
インプラントは顎骨と直接結合するため、天然歯とほぼ同等の咀嚼力を発揮できます。硬い食べ物でも安心して噛むことができ、食事の楽しみを再び味わっていただけます。入れ歯のようなガタつきや痛みもなく、快適な食生活を送ることができます。
自然で美しい外観
人工歯には高品質なセラミック材料を使用し、周囲の天然歯と見分けがつかないほど自然な仕上がりを実現できます。色調や形態を細かく調整し、患者様の口元に最も適した美しい歯を製作いたします。
周囲の歯への影響がない
ブリッジ治療とは異なり、隣接する健康な歯を削る必要がありません。また、部分入れ歯のように金具をかける必要もないため、周囲の歯に負担をかけることなく治療を行うことができます。
長期間の安定性
適切な管理により、インプラントは半永久的に機能を維持することができます。定期的なメンテナンスを継続していただくことで、長期間にわたって安定した咀嚼機能と審美性を保つことが可能です。
当院のインプラントシステム
アストラテックインプラント
スウェーデンのアストラテック社製のインプラントシステムを採用しています。世界的に高い評価を受けており、優れた生体親和性と長期安定性を誇ります。独自の表面処理技術により、骨との結合が促進され、治癒期間の短縮も期待できます。
オステムインプラント
韓国のオステム社製のインプラントシステムも取り扱っております。アジア人の骨質に適した設計がなされており、優れた初期固定と長期安定性を実現します。豊富な臨床データに基づいた信頼性の高いシステムです。
両システムとも、患者様の骨の状態や治療部位に応じて最適なものを選択し、最良の治療結果を追求いたします。
最新設備による安全で精密な治療
歯科用CT撮影による精密診断
当院では最新の歯科用CTを完備しており、三次元画像による精密な診断が可能です。骨の厚みや高さ、神経や血管の位置を正確に把握し、安全で確実なインプラント埋入を実現いたします。
CT撮影により、事前に手術のシミュレーションを行い、最適な埋入位置や角度を決定します。これにより、手術時間の短縮と安全性の向上を図ることができます。
静脈内鎮静法による快適な治療
手術に対する不安や恐怖心が強い方には、静脈内鎮静法をご利用いただけます。静脈内に鎮静剤を投与することで、リラックスした状態で手術を受けていただくことができます。
意識は保たれているため、医師との意思疎通は可能ですが、不安や緊張感が大幅に軽減され、手術中の記憶もほとんど残りません。全身麻酔とは異なり、身体への負担も少なく、安全性の高い方法です。
治療の適応症
単独歯欠損
1本の歯を失った場合に最適な治療法です。隣接する健康な歯を削ることなく、失った歯の機能を完全に回復できます。
複数歯欠損
連続する複数の歯を失った場合でも、必要な本数のインプラントを埋入することで機能を回復できます。従来のブリッジ治療よりも長期安定性に優れています。
無歯顎
すべての歯を失った場合でも、適切な本数のインプラントを埋入することで、固定式の歯を製作することが可能です。また、少数のインプラントで入れ歯を安定させるインプラントオーバーデンチャーという選択肢もあります。
治療の流れ

-
初回相談・検査
患者様のお悩みやご希望を詳しくお聞きし、口腔内の状態を確認いたします。レントゲン撮影やCT撮影を行い、骨の状態や治療の可能性について詳しく検査いたします。
-
治療計画の立案・説明
検査結果に基づいて最適な治療計画を立案し、詳しくご説明いたします。使用するインプラントシステム、手術方法、治療期間、費用などについて、分かりやすくお伝えいたします。
-
前処置
虫歯や歯周病の治療が必要な場合は、インプラント手術前に完了いたします。また、骨の量が不足している場合は、骨移植や骨再生療法を行うこともあります。
-
インプラント埋入手術
局所麻酔下で、精密に計画された位置にインプラントを埋入いたします。手術時間は埋入本数により異なりますが、通常1~2時間程度です。静脈内鎮静法をご希望の場合は、リラックスした状態で手術を受けていただけます。
-
治癒期間
インプラントと骨の結合を待つ期間です。通常2~6ヶ月程度を要しますが、この期間中は仮歯を装着して日常生活に支障がないよう配慮いたします。
-
上部構造の製作・装着
インプラントと骨の結合が確認できましたら、最終的な人工歯を製作いたします。精密な型取りを行い、患者様に最適な形態と色調の人工歯を製作して装着いたします。
-
メンテナンス
治療完了後は定期的なメンテナンスが不可欠です。通常3~6ヶ月ごとにご来院いただき、インプラント周囲の清掃とチェックを行います。適切なメンテナンスにより、インプラントを長期間良好な状態で維持できます。
インプラント治療のメリット・デメリット
メリット
天然歯に近い咀嚼機能の回復、優れた審美性、周囲の歯への影響がない、長期間の安定性、骨の吸収防止効果、取り外しの必要がない快適性などが挙げられます。
デメリット
外科手術が必要、治療期間が長い、保険適用外のため費用が高額、全身疾患により適応できない場合がある、定期的なメンテナンスが必要などが挙げられます。
治療後の注意事項
インプラント治療後は、天然歯以上に丁寧な口腔清掃が必要です。特にインプラント周囲の清掃を怠ると、インプラント周囲炎という病気になり、最悪の場合インプラントを失うことになります。
また、定期的な歯科受診は必須です。専門的なクリーニングと検査により、問題の早期発見と対処が可能になります。喫煙はインプラント周囲炎のリスクを高めるため、禁煙をお勧めいたします。
インプラント治療への取り組み
当院では、患者様に安心してインプラント治療を受けていただくため、最新の設備と技術を導入し、豊富な経験に基づく質の高い治療をご提供しております。
治療前には十分な時間をかけて説明を行い、患者様が納得されてから治療を開始いたします。また、治療後のアフターケアにも力を入れ、長期間にわたってサポートいたします。
失った歯でお悩みの方は、ぜひ一度ご相談ください。インプラント治療により、快適な咀嚼機能と美しい笑顔を取り戻していただけるよう、全力でサポートいたします。まずはお気軽にお問い合わせください。
Information
院内案内
| 月 | 火 | 水 | 木 | 金 | 土 | 日 | |
|---|---|---|---|---|---|---|---|
| 10:00~13:00 | ● | ● | ● | ||||
| 15:00~20:00 | ● | ● | ● | ||||
| 09:00~13:00 | ● | ● | |||||
| 14:00~18:00 | ● | ● |
※急患対応しておりますが、原則診療は予約制です。
ご来院の前にお電話ください。
-
医療法人社団 健佑会
-
昭和通り歯科
東京都江戸川区南小岩7-31-13
パロス南小岩1階
TEL.03-3671-8008 -
ケン歯科・矯正歯科
〒272-0143 千葉県市川市相之川4-17メトロ東西線南行徳駅1F
TEL.047-397-1181 -
ゆうゆう歯科
千葉県市川市
市川南3-1-1
TEL.047-326-7780 -
ゆう歯科クリニック
埼玉県さいたま市緑区東浦和2-51-26
サミットストア東浦和店内
TEL.048-810-5733 -
K スマイル歯科
千葉県松戸市日暮1-3-1
及川ビル2F
TEL:047-387-1182
